Barra Tricolor Responsiva

Mês: agosto 2019

O PROADI-SUS –  Programa de Apoio ao Desenvolvimento Institucional do SUS  – é um programa desenvolvido para colaborar com o fortalecimento do Sistema Único de Saúde apoiando a promoção da melhoria das condições de saúde da população brasileira, assim como o incentivo ao desenvolvimento…

Prezado Usuário, No Hospital Ana Nery a marcação é para os pacientes já cadastrados em nosso ambulatório, esses devem marcar o retorno de suas consultas e/ou exames solicitados pelo médico que o acompanha, presencialmente nos guichês da recepção principal. A…

O Hospital Ana Nery, segue comemorando o aumento no número de realizações de transplante renal com 20 procedimentos no mês de junho, superando o mês maio onde, foram realizados 17 procedimentos.

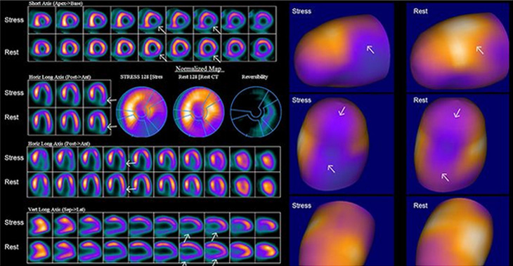
O Hospital Ana Nery, reativou no ultimo dia 05 de agosto de 2019, o aparelho de CINTILOGRAFIA após um período parado para realização de manutenção. Com a retomada, o Hospital continua a ser a única unidade de saúde pública a…

Ir para o conteúdo
Visão geral da privacidade

Este site utiliza cookies para que possamos lhe proporcionar a melhor experiência de usuário possível. As informações dos cookies são armazenadas no seu navegador e desempenham funções como reconhecê-lo quando você retorna ao nosso site e ajudar nossa equipe a entender quais seções do site você considera mais interessantes e úteis.